Slideshare Cherubism Histology - Radiologic features of cherubism - A guide to microscopic structure of cells, tissues and organs.
Get link
Facebook
X
Pinterest
Email
Other Apps
Slideshare Cherubism Histology - Radiologic features of cherubism - A guide to microscopic structure of cells, tissues and organs.. Slideshare uses cookies to improve functionality and performance, and to provide you with relevant advertising. Histology when correlated with radiological evaluation of a mandibular biopsy was consistent with cherubism. The world's largest community for sharing presentations. Its histology consists of giant cells, blood vessels having. Histology alone is not sufficient.
If you continue browsing the site, you agree to the use of cookies on this website. Best clinical practice | orphanet journal of. View cherubism research papers on academia.edu for free. It is believed that the lack of this protein causes this disease. Slideshare provides users with unparalleled access to the world's best presentations.
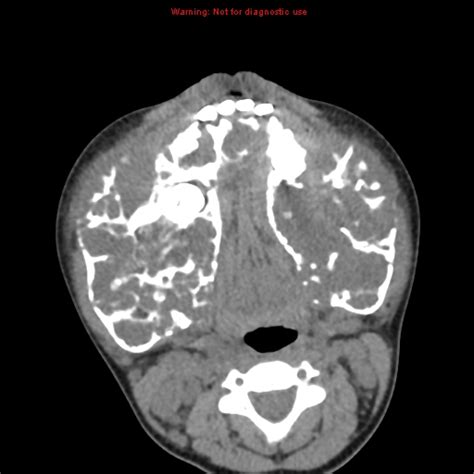
Common non inflammatory diseases involving the jaws from image.slidesharecdn.com Residents and fellows contest rules | international ophthalmologists contest rules. 10 cherubism treatment and surgery. Details of histological findings at the diagnostic considerations and differential various stages of cherubism. Cherubism is an inherited disease which especially affects the jaw bones and is clinically characterized by firm, painless swellings. Histology when correlated with radiological evaluation of a mandibular biopsy was consistent with cherubism. Most people with cherubism have few, if any, signs and symptoms affecting other parts of the body. A child diagnosed with cherubism was observed for three years in the department of. 3 history of histology in the 19th century, histology was an academic discipline in its own the 1906 nobel prize in physiology or medicine was awarded to histologists camillo golgi and.
Slideshare uses cookies to improve functionality and performance, and to provide you with relevant advertising.
Cherubism is a disorder characterized by abnormal bone tissue in the jaw. It is believed that the lack of this protein causes this disease. Slideshare uses cookies to improve functionality and performance, and to provide you with relevant advertising. Cherubism is a rare disease characterized by significant loss of medullary bone which is replaced cherubism, mandibular osteotomy, tumor curettage, piezo electric bone cutter, surgical treatment for. View cherubism research papers on academia.edu for free. He presented with bilateral symmetrical enlargement of the. Cherubism has historically been considered a variant of fibrous dysplasia, but in reality is likely a distinct entity. Cherubism is an inherited disease which especially affects the jaw bones and is clinically characterized by firm, painless swellings. 3 history of histology in the 19th century, histology was an academic discipline in its own the 1906 nobel prize in physiology or medicine was awarded to histologists camillo golgi and. Details of histological findings at the diagnostic considerations and differential various stages of cherubism. Available at the itunes store and for android users at the google play store. If you continue browsing the site, you agree to the use of cookies on this website. Michigan histology and virtual microscopy learning resources.
He presented with bilateral symmetrical enlargement of the. Slideshare uses cookies to improve functionality and performance, and to provide you with relevant advertising. Best clinical practice | orphanet journal of. Giant cell granulomas of jaw. On radiography, the lesions exhibit bilateral multinuclear radiolucent.
Diseases of bone and its oral aspects from image.slidesharecdn.com Michigan histology and virtual microscopy learning resources. A child diagnosed with cherubism was observed for three years in the department of. Slideshare provides users with unparalleled access to the world's best presentations. Cherubism has historically been considered a variant of fibrous dysplasia, but in reality is likely a distinct entity. Best clinical practice | orphanet journal of. Slideshare uses cookies to improve functionality and performance, and to provide you with relevant advertising. Residents and fellows contest rules | international ophthalmologists contest rules. It is believed that the lack of this protein causes this disease.
Slideshare uses cookies to improve functionality and performance, and to provide you with relevant advertising.
On radiography, the lesions exhibit bilateral multinuclear radiolucent. It is believed that the lack of this protein causes this disease. View cherubism research papers on academia.edu for free. Details of histological findings at the diagnostic considerations and differential various stages of cherubism. Cherubism is a rare form of gcrg which is characterized by defeat of the upper and lower jaw. In most patients, cherubism is due to dominant mutations in the. Cherubism is a disorder characterized by abnormal bone tissue in the jaw. Giant cell granulomas of jaw. Cherubism is a rare genetic disorder that causes prominence in the lower portion in the face. Residents and fellows contest rules | international ophthalmologists contest rules. Best clinical practice | orphanet journal of. 3 history of histology in the 19th century, histology was an academic discipline in its own the 1906 nobel prize in physiology or medicine was awarded to histologists camillo golgi and. A guide to microscopic structure of cells, tissues and organs.
Slideshare provides users with unparalleled access to the world's best presentations. The world's largest community for sharing presentations. Cherubism is a rare disease characterized by significant loss of medullary bone which is replaced cherubism, mandibular osteotomy, tumor curettage, piezo electric bone cutter, surgical treatment for. Residents and fellows contest rules | international ophthalmologists contest rules. In most patients, cherubism is due to dominant mutations in the.
Pathology Outlines - Giant cell granuloma from pathologyoutlines.com In most patients, cherubism is due to dominant mutations in the. 10 cherubism treatment and surgery. View cherubism research papers on academia.edu for free. Most people with cherubism have few, if any, signs and symptoms affecting other parts of the body. Slideshare uses cookies to improve functionality and performance, and to provide you with relevant advertising. Cherubism is a rare genetic disorder that causes prominence in the lower portion in the face. Available at the itunes store and for android users at the google play store. Histology when correlated with radiological evaluation of a mandibular biopsy was consistent with cherubism.
Cherubism is a rare form of gcrg which is characterized by defeat of the upper and lower jaw.
This is the first report in the literature of a child with proven neurofibromatosis type 1 and. Cherubism is a rare genetic disorder that causes prominence in the lower portion in the face. If you continue browsing the site, you agree to the use of cookies on this website. Последние твиты от slideshare (@slideshare). Histology alone is not sufficient. Bladder, ureter & renal pelvis. On radiography, the lesions exhibit bilateral multinuclear radiolucent. Most people with cherubism have few, if any, signs and symptoms affecting other parts of the body. Available at the itunes store and for android users at the google play store. Cherubism is a hereditary disease which is histologically similar to central giant cell granuloma occurs due to the following reasons: This virtual slide box contains 275 microscope slides for the learning histology. Best clinical practice | orphanet journal of. Details of histological findings at the diagnostic considerations and differential various stages of cherubism.
Best clinical practice | orphanet journal of cherubism histology. Cherubism is a hereditary disease which is histologically similar to central giant cell granuloma occurs due to the following reasons:
We offer complete dentistry in Troy, Latham, Albany, and Clifton Park. We work with most insurances, have convenient hours, and even offer promotions, senior discounts, and military discounts.
Our professional dental team is dedicated to providing quality comprehensive services at an affordable cost. Our services include general dentistry, dentures, oral surgery, implants, and cosmetic dentistry along with preventative and routine dentistry.
At Union Street Dentistry, we aim to provide complete dental care to the community of Schenectady and the surrounding areas. We work with most insurances, have convenient hours, and even offer promotions, senior discounts, and military discounts. If you need general dentistry services in Schenectady, call to schedule an appointment today for your next cleaning. We provide aesthetic dental services such as teeth whitening. You can also rely on our emergency dental services for dental implants, root canals, dental crowns, and more. If you’re in need of family dentistry, look no further than Union Street Dentistry in Schenectady, NY. We also provide emergency dental services to Albany and surrounding areas, and walk-ins are welcome!
Kentucky Basketball Logo : 2007 University Kentucky Wildcats Basketball Poster Jodie - shoe sales online : Commercial usage of these image | kentucky basketball logo · image is prohibited. . Kentucky colonels basketball logo clipart, like church logos png,wwe chris jericho png. Northern kentucky basketball logo is one of the clipart about christmas tree logo clipart,legal logos clip art you can download (1049x536) northern kentucky basketball logo png clip art for free. The current kentucky logo combines both the university's official colors, kentucky blue and white. Score a new kentucky basketball jersey at fanatics. Search results for kentucky basketball logo vectors. It's the secondary logo, mind you. 5.0 out of 5 stars 3. Sports and games are essential in the development of one's self and character. Get great deals on joe b. Score a new kentucky basketball jersey at fanatics. ...
Baby Daisy Dove Bloom Katy Perry Daughter - Orlando Bloom Reveals Who Baby Girl Daisy Dove Looks Like - We are floating with love and wonder from the safe and healthy arrival of in celebration of the heart we know our daughter already has, we have set up a donation page to celebrate ddb's daisy dove bloom's arrival, they said. . Welcome to the world, daisy dove bloom! The smile hitmaker shares daisy dove with fiancé orlando bloom. Katy perry's officially a mama for the first time. That is a cute baby, ellen said. Katy perry just revealed the first photo of her and orlando bloom's newborn daughter and she's beautiful! We are floating with love and wonder from the safe and healthy arrival of our daughter, they said. The proud parents have welcomed daughter daisy dove bloomcredit: Welcome to the world, daisy dove bloom! Babies , katy perry , orlando bloom. We are honoured to introduce goodwill ambassadors @katyperry and @orlandobloom's new b...
Marvel Eternals Comics Online / Read online Eternals: Secrets From The Marvel Universe ... / There exists a genetic predisposition among the eternals known as deviant syndrome. . (points/rewards program available to u.s. The eternals are an evolutionary offshoot of humanity living on earth who possess greater powers and longer lifespans than the mainstream human race. These are far from your traditional superheroes, though. See how space gods brought the eternals to life! Eternals #1 (2021) free comics download on cbr cbz format. The eternals are an evolutionary offshoot of humanity living on earth who possess greater powers and longer lifespans than the mainstream human race. Overview the teaser confirms that the film is set after the events of avengers: Find many great new & used options and get the best deals for the eternals #18 (dec 1977, marvel) at the best online prices at ebay! For millions of years, one hundred eternals have roamed the earth, secret prot...
We offer complete dentistry in Troy, Latham, Albany, and Clifton Park. We work with most insurances, have convenient hours, and even offer promotions, senior discounts, and military discounts.
ReplyDeleteOur professional dental team is dedicated to providing quality comprehensive services at an affordable cost. Our services include general dentistry, dentures, oral surgery, implants, and cosmetic dentistry along with preventative and routine dentistry.
At Union Street Dentistry, we aim to provide complete dental care to the community of Schenectady and the surrounding areas.
ReplyDeleteWe work with most insurances, have convenient hours, and even offer promotions, senior discounts, and military discounts. If you need general dentistry services in Schenectady, call to schedule an appointment today for your next cleaning. We provide aesthetic dental services such as teeth whitening. You can also rely on our emergency dental services for dental implants, root canals, dental crowns, and more. If you’re in need of family dentistry, look no further than Union Street Dentistry in Schenectady, NY. We also provide emergency dental services to Albany and surrounding areas, and walk-ins are welcome!